—‰È‹³Þƒf[ƒ^ƒx[ƒX
Šò•Œ‘åŠw‹³ˆçŠw•”—‰È‹³ˆçuÀi’nŠwj
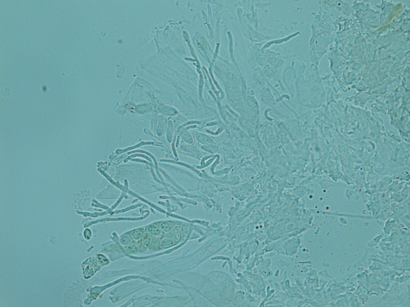
ƒ`ƒaƒŒƒPƒSƒP




2011”N4ŒŽ20“ú‚ÉŽB‰e‚µ‚Ü‚µ‚½B10%KOH…—n‰t‚Å••“üB
Photo =S.Kawakami.